
Courtesy of Forbes
Wabah Campak Kembali Melanda, Pentingnya Vaksinasi dan Pencegahan
Memberikan informasi penting tentang campak kepada keluarga agar dapat memahami gejala, cara penularan, risiko komplikasi, dan pentingnya vaksinasi untuk mencegah wabah lebih lanjut.
30 Jan 2026, 19.00 WIB
48 dibaca
Share
Ikhtisar 15 Detik
- Vaksinasi MMR sangat penting untuk mencegah epidemi campak.
- Kampanye kesadaran untuk meningkatkan angka vaksinasi diperlukan untuk melindungi kelompok rentan.
- Komplikasi serius dari campak dapat terjadi, sehingga penting untuk segera menghubungi tenaga medis jika ada gejala.
Amerika Serikat - Campak adalah penyakit virus yang sangat menular, yang dalam beberapa tahun terakhir mulai muncul kembali di Amerika Serikat dan dunia. Penurunan vaksinasi dan peningkatan penolakan vaksin membuat wabah semakin sering terjadi, bahkan sampai menyebabkan ribuan kasus di AS dan ratusan ribu global.
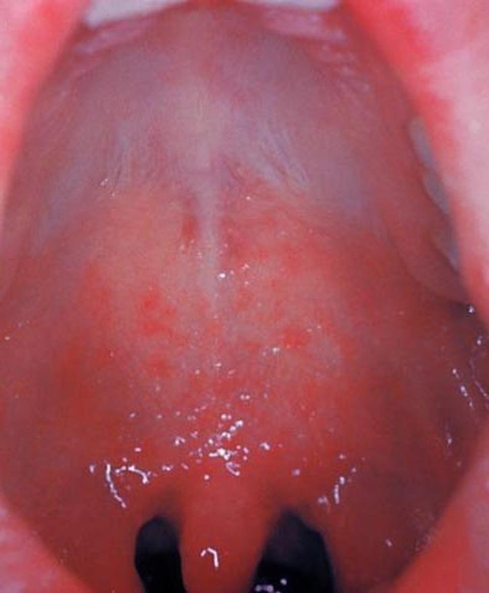
Gejala campak biasanya muncul 7-14 hari setelah terpapar, diawali dengan demam tinggi, batuk, hidung berair, dan mata merah. Tanda khas adalah bintik Koplik di dalam mulut, kemudian muncul ruam merah yang dimulai dari wajah dan menyebar ke seluruh tubuh. Virus dapat menular sebelum ruam muncul dan bertahan di udara hingga dua jam.
Vaksinasi MMR sangat efektif dalam mencegah penyakit ini, dengan dua dosis memberikan perlindungan lebih dari 99%. Namun cakupan vaksin di AS turun dari 95,2% ke 92,5% di antara anak-anak taman kanak-kanak, menyebabkan ratusan ribu anak menjadi rentan virus campak.
Komplikasi campak bisa serius mulai dari diare, infeksi telinga, hingga pneumonia atau radang otak (ensefalitis). Kelompok berisiko tinggi termasuk bayi, orang dewasa di atas 20 tahun, wanita hamil, dan mereka dengan sistem imun lemah mengalami risiko kematian atau komplikasi berat lebih tinggi.
Untuk mencegah penyebaran, penting bagi orang yang diduga terkena campak untuk tidak langsung datang ke fasilitas kesehatan tanpa telepon terlebih dahulu. Pengobatan cepat, isolasi, dan koordinasi dengan dinas kesehatan sangat penting, serta pemberian vaksinasi atau imunoglobulin pasca-paparan bagi yang berisiko.
Referensi:
[1] https://www.forbes.com/sites/jessepines/2026/01/30/measles-outbreaks-are-accelerating-5-things-to-know-from-a-doctor/
[1] https://www.forbes.com/sites/jessepines/2026/01/30/measles-outbreaks-are-accelerating-5-things-to-know-from-a-doctor/
Analisis Ahli
Dr. Anthony Fauci
"Penurunan vaksinasi dalam komunitas adalah tantangan utama untuk pengendalian penyakit yang sangat menular seperti campak. Upaya edukasi dan kebijakan vaksinasi wajib harus diperkuat agar tidak terjadi wabah berulang."
Dr. Jane Kim, Epidemiologist
"Vaksinasi adalah fondasi kunci untuk melindungi populasi dari campak, terutama anak-anak yang rentan. Pengawasan ketat dan respons cepat terhadap kasus sangat penting untuk meminimalisasi penyebaran."
Analisis Kami
"Wabah campak yang terjadi kembali menunjukkan kegagalan kita dalam menjaga imunisasi komunitas yang tinggi; hal ini sangat disayangkan mengingat vaksin MMR telah teruji efektif dan aman sejak lama. Jika pemerintah dan masyarakat tidak segera bertindak memperkuat program vaksinasi dan edukasi tentang bahaya campak, kita akan terus melihat lonjakan kasus dengan konsekuensi medis yang serius."
Prediksi Kami
Jika penurunan cakupan vaksinasi terus berlanjut, wabah campak di AS dan dunia akan semakin sering dan pula dengan risiko komplikasi dan kematian yang meningkat, terutama di kalangan kelompok rentan seperti anak-anak, ibu hamil, dan pasien dengan sistem imun lemah.
Pertanyaan Terkait
Q
Apa gejala awal campak?A
Gejala awal campak meliputi demam tinggi, batuk, hidung meler, dan mata merah berair.Q
Mengapa campak sangat menular?A
Campak sangat menular karena virus dapat tinggal di udara hingga 2 jam setelah terinfeksi meninggalkan ruangan dan memerlukan sekitar 95% imunitas komunitas untuk menghentikan penyebarannya.Q
Apa yang harus dilakukan jika seseorang dicurigai terkena campak?A
Jika dicurigai terkena campak, sebaiknya tidak pergi ke tempat umum dan segera hubungi klinik untuk mendapatkan instruksi lebih lanjut.Q
Apa risiko komplikasi dari campak?A
Risiko komplikasi dari campak mencakup infeksi telinga, diare, pneumonia, dan bahkan kematian, terutama pada kelompok rentan seperti bayi dan orang dewasa yang lebih tua.Q
Bagaimana cara mencegah penularan campak?A
Pencegahan penularan campak dilakukan melalui vaksinasi MMR yang efektif dan menjaga tingkat vaksinasi komunitas yang tinggi.




