
Courtesy of InterestingEngineering
Alat Baru Prediksi Penuaan Otak dengan Satu Pemindaian MRI
Mengembangkan alat yang dapat memperkirakan kecepatan penuaan biologis seseorang menggunakan satu kali pemindaian MRI otak untuk membantu memprediksi risiko penyakit kronis dan memperpanjang kualitas hidup.
01 Jul 2025, 16.10 WIB
241 dibaca
Share
Ikhtisar 15 Detik
- DunedinPACNI dapat memberikan wawasan baru tentang penuaan biologis seseorang melalui pemindaian otak.
- Alat ini menunjukkan hubungan antara penuaan otak dan risiko penyakit kronis, termasuk demensia.
- Penelitian ini menunjukkan pentingnya pemantauan penuaan untuk mendorong perubahan gaya hidup yang sehat.
Dunedin, Selandia Baru - Seiring bertambahnya usia, beberapa orang terlihat lebih muda dari usia mereka sebenarnya, sementara yang lain menua lebih cepat. Ini karena usia kronologis tidak selalu mencerminkan penuaan biologis atau kesehatan otak seseorang.
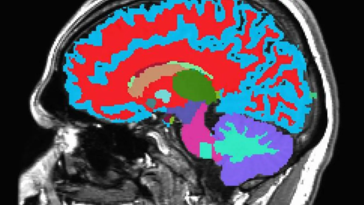
Para peneliti dari Duke, Harvard, dan University of Otago mengembangkan alat bernama DunedinPACNI yang dapat memperkirakan seberapa cepat seseorang menua secara biologis hanya dengan menggunakan satu kali pemindaian MRI otak.
Alat ini dilatih menggunakan data dari Dunedin Study yang telah memantau lebih dari seribu orang selama hampir lima dekade, mengumpulkan berbagai data kesehatan mulai dari tekanan darah hingga kondisi gigi.
Penelitian menunjukkan bahwa individu dengan penuaan otak yang lebih cepat memiliki risiko lebih tinggi mengalami demensia, penyakit kronis, bahkan kematian dalam beberapa tahun setelah pemindaian MRI dilakukan.
Pengetahuan ini bisa memotivasi orang untuk melakukan perubahan gaya hidup sehat seperti diet dan olahraga agar dapat memperlambat proses penuaan dan meningkatkan kualitas hidup.
Referensi:
[1] https://interestingengineering.com/science/scientists-decode-brains-aging-clock
[1] https://interestingengineering.com/science/scientists-decode-brains-aging-clock
Analisis Ahli
Analisis Kami
"null"
Prediksi Kami
Pertanyaan Terkait
Q
Apa itu DunedinPACNI?A
DunedinPACNI adalah alat yang dikembangkan untuk memperkirakan seberapa cepat seseorang mengalami penuaan biologis menggunakan pemindaian otak MRI.Q
Bagaimana cara kerja DunedinPACNI dalam mengukur penuaan biologis?A
DunedinPACNI bekerja dengan menganalisis pemindaian otak untuk memperkirakan 'aging score' individu berdasarkan data kesehatan yang telah dikumpulkan selama bertahun-tahun.Q
Apa saja faktor yang dipantau dalam Dunedin Study?A
Faktor yang dipantau dalam Dunedin Study termasuk tekanan darah, indeks massa tubuh (BMI), kadar glukosa, kolesterol, serta penilaian fungsi paru dan ginjal.Q
Apa risiko yang terkait dengan 'aging score' yang lebih cepat?A
'Aging score' yang lebih cepat terkait dengan kinerja kognitif yang lebih buruk, risiko demensia yang lebih tinggi, dan kemungkinan lebih besar untuk didiagnosis dengan penyakit kronis.Q
Mengapa penting untuk mengukur penuaan biologis?A
Mengukur penuaan biologis penting untuk memahami kesehatan jangka panjang dan dapat memotivasi perubahan gaya hidup yang lebih baik.



