
Courtesy of Forbes
Mikroplastik Menumpuk dalam Otak Manusia: Ancaman Baru yang Mengkhawatirkan
04 Feb 2025, 15.59 WIB
120 dibaca
Share
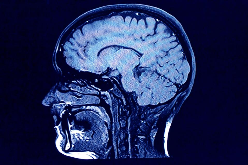
Produksi plastik yang terus meningkat menyebabkan partikel-partikel kecil bernama mikroplastik terkumpul di mana-mana, termasuk di dalam tubuh manusia. Penelitian dari Universitas New Mexico menunjukkan bahwa mikroplastik lebih banyak ditemukan di otak dibandingkan dengan organ lainnya, seperti ginjal dan hati. Dalam sampel otak manusia, ditemukan 12 jenis polimer yang berbeda, dan rata-rata otak bisa mengandung sekitar 4.800 mikrogram mikroplastik per gram. Jumlah mikroplastik di otak juga meningkat pesat dalam delapan tahun terakhir.
Para ilmuwan menduga mikroplastik masuk ke dalam tubuh kita melalui makanan, terutama daging, yang terkontaminasi oleh plastik. Meskipun mereka belum tahu apakah mikroplastik berbahaya bagi kesehatan, mereka menemukan bahwa otak penderita demensia memiliki lebih banyak mikroplastik. Penelitian lebih lanjut diperlukan untuk memahami dampak mikroplastik pada kesehatan manusia, tetapi para peneliti berharap temuan ini dapat meningkatkan kesadaran masyarakat tentang keberadaan plastik di dalam otak mereka.
Referensi:
[1] https://www.forbes.com/sites/katherinehignett/2025/02/04/your-brain-could-be-holding-a-spoons-worth-of-microplastics/
[1] https://www.forbes.com/sites/katherinehignett/2025/02/04/your-brain-could-be-holding-a-spoons-worth-of-microplastics/
Analisis Ahli
Matthew Campen
"Kehadiran mikroplastik di otak sangat mengkhawatirkan karena bisa menghambat aliran darah dan memicu kerusakan fungsi saraf, walaupun mekanismenya masih belum jelas."
Analisis Kami
"Temuan ini sangat memprihatinkan karena menunjukkan potensi ancaman mikroplastik terhadap fungsi otak manusia, sesuatu yang selama ini belum banyak disadari. Sebagai ahli, saya percaya bahwa segera diperlukan tindakan mitigasi untuk mengurangi paparan mikroplastik, selain penelitian mendalam untuk memetakan dampak kesehatan jangka panjangnya."
Prediksi Kami
Penelitian lebih lanjut kemungkinan akan mengungkap efek mikroplastik terhadap kesehatan otak dan memicu regulasi serta usaha global untuk mengurangi polusi plastik dan paparan mikroplastik pada manusia.
Pertanyaan Terkait
Q
Apa yang ditemukan oleh para ilmuwan tentang mikroplastik di otak manusia?A
Para ilmuwan menemukan bahwa mikroplastik terkumpul di otak manusia dalam jumlah yang jauh lebih banyak dibandingkan organ lainnya.Q
Bagaimana mikroplastik dapat masuk ke dalam tubuh manusia?A
Mikroplastik dapat masuk ke dalam tubuh manusia terutama melalui makanan, terutama daging yang terkontaminasi.Q
Apa dampak mikroplastik yang ditemukan di otak terhadap kesehatan?A
Dampak mikroplastik di otak terhadap kesehatan masih belum diketahui, tetapi ada kekhawatiran bahwa mereka dapat mempengaruhi aliran darah dan berkontribusi pada penyakit seperti demensia.Q
Siapa yang memimpin penelitian tentang mikroplastik di Universitas New Mexico?A
Penelitian tentang mikroplastik di Universitas New Mexico dipimpin oleh Matthew Campen, seorang toksikolog.Q
Apa yang diharapkan oleh Matthew Campen dari penelitian ini?A
Matthew Campen berharap penelitian ini dapat meningkatkan kesadaran konsumen tentang keberadaan mikroplastik di otak mereka.



