
Courtesy of NatureMagazine
Otak Aktifkan Sel Imun Hanya dengan Melihat Orang Sakit Lewat VR
Mengetahui bagaimana otak manusia dapat mengaktifkan sel imun sebagai respons terhadap visualisasi tanda-tanda penyakit, sehingga dapat memicu respons imun yang mirip dengan tubuh yang benar-benar terinfeksi.
29 Jul 2025, 07.00 WIB
298 dibaca
Share
Ikhtisar 15 Detik
- Otak dapat memprediksi serangan infeksi hanya dengan melihat orang yang sakit.
- Penggunaan teknologi realitas virtual memungkinkan penelitian dilakukan tanpa risiko paparan patogen.
- Respon imun dapat diaktifkan sebelum infeksi terjadi, memberikan perlindungan tambahan bagi tubuh.
Lausanne, Swiss - Penelitian baru menunjukkan bahwa otak manusia dapat mengaktifkan sel-sel imun meskipun hanya melihat seseorang yang sakit secara virtual. Ini membuktikan bahwa otak bisa memprediksi ancaman infeksi melalui sinyal visual tanpa kontak langsung dengan patogen.
Para sukarelawan menggunakan headset VR untuk melihat avatar yang menunjukkan tanda-tanda penyakit seperti ruam dan batuk. Mereka mendekat secara virtual tanpa benar-benar menyentuh peserta penelitian, memastikan tidak ada risiko infeksi nyata.
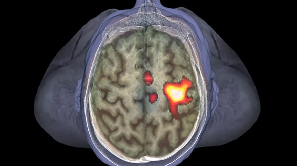
Selama eksperimen, respon imun para sukarelawan diukur lewat tes darah dan pemindaian otak. Hasilnya memperlihatkan reaksi yang mirip dengan yang terjadi jika tubuh benar-benar terinfeksi.
Penelitian ini mengilustrasikan bagaimana otak mengawasi ruang sekitar tubuh dan bisa mempersiapkan tubuh menghadapi kemungkinan infeksi dengan mengaktifkan sel imun secara awal.
Temuan ini dapat membantu mengembangkan pemahaman baru tentang cara tubuh melindungi diri dan memperkuat sistem kekebalan sebelum infeksi benar-benar terjadi, khususnya melalui stimulasi visual.
Referensi:
[1] https://nature.com/articles/d41586-025-02363-7
[1] https://nature.com/articles/d41586-025-02363-7
Analisis Ahli
Andrea Serino
"Studi ini memperlihatkan betapa kuatnya mekanisme otak dalam mempersiapkan tubuh menghadapi infeksi bahkan sebelum infeksi nyata terjadi, sebuah lompatan besar dalam memahami sistem imun manusia."
Analisis Kami
"Penelitian ini membuka jalur baru penting dalam bidang imunologi dan neurologi yang menunjukkan hubungan erat antara persepsi visual dan sistem imun. Ini menunjukkan bahwa otak bukan hanya penerima informasi, tetapi juga aktor aktif dalam memprediksi dan menyiapkan tubuh menghadapi ancaman kesehatan."
Prediksi Kami
Dalam waktu dekat, teknologi berbasis realitas virtual dan pemindaian otak dapat digunakan untuk memperkuat sistem imun atau membantu diagnosis awal penyakit melalui pemahaman reaksi otak terhadap tanda-tanda infeksi.
Pertanyaan Terkait
Q
Apa yang dilakukan oleh otak saat melihat orang yang sakit?A
Otak mengaktifkan sel imun garis depan sebagai respons terhadap penglihatan orang yang sakit, mirip dengan respons tubuh terhadap infeksi yang sebenarnya.Q
Bagaimana cara penelitian ini dilakukan?A
Penelitian dilakukan dengan menggunakan headset realitas virtual untuk menunjukkan avatar yang memiliki gejala penyakit kepada sukarelawan.Q
Apa tujuan dari penelitian ini?A
Tujuan penelitian ini adalah untuk memahami bagaimana otak dapat memprediksi serangan patogen dan memulai respons imun yang preemptive.Q
Siapa yang terlibat dalam penelitian ini?A
Penelitian ini melibatkan Andrea Serino dan timnya di Rumah Sakit Universitas Lausanne, Swiss.Q
Apa hasil utama dari penelitian yang dipublikasikan di Nature Neuroscience?A
Hasil utama menunjukkan bahwa otak dapat memicu respons imun hanya dengan melihat tanda-tanda penyakit pada orang lain.




