
Courtesy of NatureMagazine
Implan Retina Mini Mengembalikan Penglihatan untuk Penderita Degenerasi Makula
Menginformasikan tentang keberhasilan penggunaan implan retina subretina PRIMA yang mampu memulihkan sebagian penglihatan pasien dengan degenerasi makula kering yang sebelumnya buta fungsional sehingga memberikan harapan baru bagi pasien yang kehilangan penglihatan sentral.
20 Okt 2025, 07.00 WIB
187 dibaca
Share
Ikhtisar 15 Detik
- Implan PRIMA menunjukkan potensi besar dalam memulihkan penglihatan bagi pasien dengan degenerasi makula.
- Sebagian besar peserta mengalami peningkatan penglihatan yang signifikan setelah menggunakan implan.
- Penggunaan teknologi baru seperti kamera dan implan retina dapat memberikan harapan baru bagi pasien yang sebelumnya dianggap tidak dapat disembuhkan.
Bonn, Jerman - Degenerasi makula terkait usia (AMD) adalah penyebab kebutaan incurable yang paling umum pada orang tua. Tipe kering dari penyakit ini menyebabkan sel-sel peka cahaya di bagian tengah retina mati perlahan sehingga penderitanya kehilangan penglihatan sentral yang sangat penting untuk berbagai aktivitas sehari-hari.
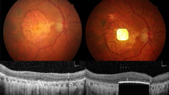
Para ilmuwan kini telah mengembangkan sebuah implan retina kecil bernama PRIMA yang dipasang di bawah retina untuk menggantikan fungsi sel-sel penginderaan cahaya yang sudah mati akibat AMD. Implan ini hanya berukuran 2x2 milimeter dan setebal 30 mikrometer yang menjadikannya sangat kecil dan praktis untuk digunakan.
Pengguna implan tersebut memakai kacamata khusus yang memiliki kamera yang mengubah gambar menjadi pola cahaya infra merah, yang kemudian diubah menjadi impuls listrik oleh implan untuk merangsang retina yang masih berfungsi, sehingga memungkinkan penderitanya untuk melihat kembali.
Dalam uji klinis yang melibatkan 38 peserta di beberapa negara Eropa, 80% dari mereka mengalami perbaikan penglihatan yang berarti dan mampu melihat huruf dan kata lebih baik satu tahun setelah pemasangan implan. Sebagian besar pasien juga melaporkan kepuasan penggunaan di kehidupan sehari-hari.
Meskipun ada beberapa risiko kecil terkait dengan operasi pemasangan implan, para ahli sepakat bahwa manfaatnya jauh lebih besar dan teknologi ini memberikan harapan baru bagi jutaan orang dengan AMD tipe kering untuk mendapatkan kembali penglihatan mereka.
Referensi:
[1] https://nature.com/articles/d41586-025-03420-x
[1] https://nature.com/articles/d41586-025-03420-x
Analisis Ahli
Francesca Cordeiro
"Studi ini sangat signifikan karena dirancang dengan baik dan memberikan harapan nyata bagi pasien yang selama ini mengalami kebutaan sebagai kenyataan yang sulit untuk dipulihkan."
Analisis Kami
"Teknologi implan retina ini membuka peluang revolusioner dalam pengobatan kebutaan akibat degenerasi makula dan menunjukkan bahwa penggabungan teknologi canggih dengan sistem biologis dapat menghasilkan pemulihan fungsi yang sebelumnya dianggap tidak mungkin. Namun, keberhasilan jangka panjang dan efisiensi biaya akan menjadi faktor penentu utama dalam penerapan luas teknologi ini di seluruh dunia."
Prediksi Kami
Dalam beberapa tahun ke depan, implan retina seperti PRIMA akan semakin dikembangkan dan tersedia secara luas, memberikan solusi praktis bagi jutaan orang dengan AMD kering untuk mendapatkan kembali penglihatan sentral mereka.
Pertanyaan Terkait
Q
Apa itu implan PRIMA yang disebutkan dalam artikel?A
Implan PRIMA adalah implan retina yang dikembangkan untuk menggantikan sel-sel sensitif cahaya yang hilang akibat degenerasi makula.Q
Siapa yang memimpin uji klinis implan retina ini?A
Uji klinis ini dipimpin oleh Frank Holz, seorang ahli oftalmologi dari Universitas Bonn di Jerman.Q
Berapa banyak peserta yang terlibat dalam uji klinis ini?A
Uji klinis ini melibatkan 38 peserta dengan degenerasi makula yang parah.Q
Apa manfaat yang diperoleh peserta setelah menggunakan implan?A
Setelah menggunakan implan, peserta mengalami peningkatan penglihatan yang berarti, mampu membaca huruf dan berfungsi dalam kehidupan sehari-hari.Q
Mengapa degenerasi makula menjadi masalah bagi penglihatan?A
Degenerasi makula menyebabkan hilangnya sel-sel sensitif cahaya di retina, yang mengakibatkan penglihatan pusat yang hilang, sehingga sulit untuk mengenali wajah, membaca, dan melakukan aktivitas sehari-hari.



