
Courtesy of NatureMagazine
Menurunnya Volume Otak Pria Lebih Cepat, Kenapa Wanita Lebih Sering Alzheimer?
Memahami perbedaan perubahan volume otak terkait usia antara pria dan wanita yang sehat untuk mengetahui apakah hal ini menjelaskan mengapa wanita lebih sering mengalami Alzheimer.
13 Okt 2025, 07.00 WIB
187 dibaca
Share
Ikhtisar 15 Detik
- Pria mengalami penurunan volume otak yang lebih besar dibandingkan wanita seiring bertambahnya usia.
- Perbedaan dalam prevalensi Alzheimer antara pria dan wanita mungkin disebabkan oleh faktor lain selain perubahan struktural otak.
- Hippocampus memainkan peran penting dalam memori dan terkait dengan perkembangan penyakit Alzheimer.
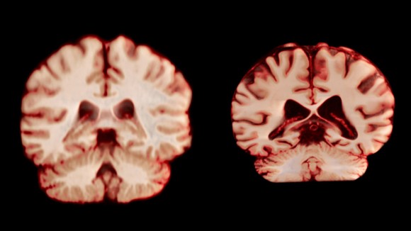
Sydney, Australia - Penelitian terbaru menunjukkan bahwa pria mengalami penurunan volume otak yang lebih besar dan di lebih banyak area dibanding wanita saat menua. Studi ini dilakukan dengan menggunakan pemindaian MRI terhadap ribuan peserta sehat tanpa gangguan kognitif, untuk memahami bagaimana otak berubah selama proses penuaan.
Wanita secara signifikan lebih sering didiagnosis dengan Alzheimer, sehingga para ilmuwan berharap menemukan hubungan antara penurunan otak terkait usia dengan risiko penyakit ini. Namun, hasil penelitian menunjukkan bahwa pria yang mengalami penurunan volume otak lebih besar, terutama di beberapa bagian penting otak.
Salah satu area yang menunjukkan perbedaan adalah postcentral cortex, bagian otak yang memproses sensasi seperti sentuhan dan rasa sakit. Penurunan volume di area ini terjadi sekitar 2,0% tiap tahun pada pria, sedangkan pada wanita sekitar 1,2% tiap tahun. Hal ini menunjukkan pria mengalami penuaan otak yang lebih cepat.
Para peneliti menjelaskan bahwa meskipun pria memiliki penurunan volume otak yang lebih cepat, hal ini tidak menjelaskan kenapa wanita lebih rentan terhadap Alzheimer. Faktor lain, seperti perbedaan dalam kemampuan bertahan hidup atau kerentanan biologis, mungkin memegang peran penting dalam perbedaan prevalensi tersebut.
Studi ini menjadi langkah penting untuk memperluas pemahaman kita tentang penuaan otak sehat dan membantu mengarahkan penelitian selanjutnya untuk memperoleh penjelasan yang lebih jelas mengenai hubungan antara jenis kelamin dan risiko penyakit neurodegeneratif seperti Alzheimer.
Referensi:
[1] https://nature.com/articles/d41586-025-03353-5
[1] https://nature.com/articles/d41586-025-03353-5
Analisis Ahli
Fiona Kumfor
"Memahami perubahan otak pada usia sehat sangat penting untuk menyelidiki mekanisme neurodegenerasi dan memberi dasar untuk pencegahan Alzheimer."
Anne Ravndal
"Hasil menunjukkan bahwa penurunan otak terkait usia tidak menjelaskan perbedaan prevalensi Alzheimer, membuka arah riset ke faktor biologis lainnya."
Amy Brodtmann
"Jika penurunan otak yang berkaitan dengan Alzheimer terjadi lebih pada wanita, maka data ini harusnya terlihat, tapi faktanya tidak, sehingga perlu penelitian lebih lanjut."
Analisis Kami
"Penurunan volume otak yang lebih cepat pada pria menantang anggapan umum bahwa wanita mengalami penuaan otak lebih buruk, sehingga fokus riset perlu bergeser ke faktor non-otak untuk memahami Alzheimer. Sangat penting untuk mengeksplorasi aspek lain seperti genetika, hormon, dan faktor lingkungan yang mungkin lebih berkontribusi pada prevalensi penyakit ini pada wanita."
Prediksi Kami
Penelitian lebih lanjut akan mengarah pada pemahaman faktor-faktor lain seperti kerentanan biologis atau perbedaan harapan hidup yang menjelaskan mengapa wanita lebih sering terkena Alzheimer.
Pertanyaan Terkait
Q
Apa temuan utama dari penelitian ini terkait penuaan otak pada pria dan wanita?A
Penelitian ini menemukan bahwa pria mengalami penurunan volume otak yang lebih besar di lebih banyak area dibandingkan wanita.Q
Mengapa lebih banyak wanita yang didiagnosis dengan Alzheimer dibandingkan pria?A
Penelitian menunjukkan bahwa perubahan otak yang terjadi seiring bertambahnya usia tidak cukup untuk menjelaskan prevalensi Alzheimer yang lebih tinggi pada wanita.Q
Apa peran hippocampus dalam konteks penyakit Alzheimer?A
Hippocampus adalah area otak yang penting untuk memori dan terlibat dalam perkembangan penyakit Alzheimer.Q
Bagaimana penelitian ini berkontribusi pada pemahaman tentang penuaan otak?A
Penelitian ini meningkatkan pemahaman tentang perubahan otak yang normal seiring bertambahnya usia dan menciptakan dasar untuk memahami kondisi neurodegeneratif.Q
Apa saja organisasi yang terlibat dalam penelitian ini?A
Organisasi yang terlibat termasuk Universitas Sydney, Universitas Oslo, dan Universitas Monash.



